Cabinet du Docteur Maya Line Danhache, pratique exclusive en orthodontie à Paris 17

La réussite d'un traitement

L'hygiène en orthodontie

L'hygiène en orthodontie

09 Avr 2025
Traitement orthodontique : les règles du succès

Traitement orthodontique : les règles du succès

09 Avr 2025
Nettoyage des brackets avec brossette interdentaire

Nettoyage des brackets avec brossette interdentaire

09 Avr 2025
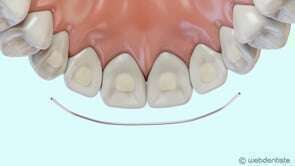
Fil de contention

Fil de contention

09 Avr 2025
Contention de Hawley

Contention de Hawley

09 Avr 2025
L’application dental monitoring®

L’application dental monitoring®

09 Avr 2025

La solution DentalMonitoring® permet de suivre à distance l’évolution d’un traitement orthodontique avec une application personnalisée sur mobile.

Bien entretenir vos aligneurs

Bien entretenir vos aligneurs

09 Avr 2025

Un entretien quotidien permettra de conserver vos aligneurs (ou gouttières transparentes) en bon état pendant toute la durée du traitement.

La période de contention orthodontique

La période de contention orthodontique

09 Avr 2025

La contention permet de stabiliser les résultats de votre traitement et de conserver un bel alignement des dents.

Orthodontie et hygiène bucco-dentaire

Orthodontie et hygiène bucco-dentaire

09 Avr 2025

Quel que soit le type d’appareil (amovible ou fixe), les bons gestes d’hygiène bucco-dentaire sont un gage de réussite de votre traitement.

Conditions de réussite d'un traitement orthodontique

Conditions de réussite d'un traitement orthodontique

09 Avr 2025

Le succès d’un traitement d’orthodontie dépend du diagnostic et des soins prodigués, mais également de votre coopération.

10 articles

Création par Webdentiste

Connexion